
Meme kisti içi sıvı ile dolu kesecik olarak tanımlanabilir, memedeki süt kanalı bezlerindeki genişlemeler sonucunda oluşur. İyi huylu meme lezyonlarıdır. kadınlar arasında çok yaygın bir tanıdır ve ağrı ve ele gelen kitle şikayeti nedeni ile meme kliniğine başvurunun en yaygın nedenlerinden biridir. Ancak asemptomatik olanlar tesadüfen saptanırlar.
Meme kistleri, memenin fibrokistik hastalığı olarak bilinen daha büyük, iyi huylu bir hastalık sürecinin parçasıdır. Çoğu zaman birden fazla sayıda ve değişik boyutlarda olabilirler. Sıklıkla memenin üst-dış kadranında yer alır ancak tüm meme dokusunu etkileyebilir ve her iki memede aynı anda şikayetlere neden olabilir. Adetin ikinci yarısında büyüme gösterebilir. Zaman zaman ağrıya sebep olabilir. Bazen 3-5 cm çapına ulaşabilir.
Kendi kendine meme muayenesinde veya hekim muayenesinde üzüm tanesi gibi hissedilebilirler. Bazen meme dokusundan kaynaklanan iyi huylu katı (solid) kitlelerden ayırt etmek zor olabilir.
Aşırı büyüyerek ağrı ve hassasiyete neden olmadıkları sürece çoğu zaman tedaviye gerek yoktur. 35-50 yaş arası kadınlarda daha sıktır ve menapoz sonrası küçülerek kaybolurlar.
Meme kistlerin en kolay tanı yöntemi ultrasonografidir (US). US kistin içeriği ve duvarları hakkında detaylı bilgi verebilmekte ve Doppler özelliği sayesinde kist içerisinde veya çevresinde olabilecek vaskülarizasyonları gösterebilmektedir.
Memede saptanan bir kitlenin içyapısı hakkında en önemli bilgi kitlenin içinin sıvı ile mi dolu (kist) yoksa hücre ile mi dolu (solid) olduğunun bilinmesidir. Bu bilgi en iyi ultrason ile elde edilir. Memede kist için teşhis yöntemi ultrasondur.


Kistin çeperi ince, düzgündür. İçindeki sıvı homojen( düzenli aynı yapıda) yapıdadır. İçinde solid yapı yoktur. Basit kistler kitlelerin %25-47 sini oluşturur. Kitlede damar yapısı yoktur. Basit kist hiçbir zaman kansere dönüşmez, bu nedenle takip edilmesine gerek yoktur.
Mamografide (MG) basit kistler genelde düşük dansiteli, düzgün sınırlı, yuvarlak veya oval yapıda hafif lobule olarak izlenir. Sınırları çevre meme dokusu ile örtülmüş ve meme dokusundan yer yer net olarak ayırt edilemeyebilir.
Ultrasonografide kistlerin tipik olarak anekoik ve avasküler görünümleri vardır.
Basit kistler BI-RADS kategori 2 – benign bulgular olarak rapor edilir. Basit kistlere herhangi bir ileri inceleme önerilmemektedir. Ancak çok gerginlik yapan ve rahatsızlık veren kistler tedavi için Ultrason eşliğinde enjektör ile girilerek kist sıvısı boşaltılır. Ancak bu kalıcı etkisi olan bir girişim değildir, yineleyebilir.
Memede septalı kist; kistin çeperi ince, düzgündür. İçinde 0,5mm den ince septa vardır.
Komplike kistler basit sıvı içeriği bulunmayan kistlerdir. Bazen kesecik içine kanama olması veya içini dolduran protein yapıdaki sıvının çökelmesi sonucu görünümleri değişebilir ve komplike kist adı verilir. İçlerinde solid yapı bulunmaz.
Komplike kistler mamografide basit kistler ile benzer bulgular verirler.
Ultrasonografide şekil ve sınırları genelde basit kistler gibidir. Oval, yuvarlak olabilirler. İçerdikleri materyalin yoğunluğuna bağlı olarak farklı iç ekosu obulunabilir. Hareketli internal ekoları olabilir. İçlerinde vaskülarizasyon izlenmez.
Kistler çok sayıda ise BI-RADS kategori 2- benign bulgular olarak rapor edilir. Kist tek sayıda ise BI-RADS kategori 3 olarak değerlendirlir, kısa dönem US ile takip edilir.
Kompleks kistler içlerinde solid komponenti bulunan veya duvarları kalın olan (0,5mm den büyük) ya da kalın septası olan (0,5mm den büyük) olan kistlerdir.
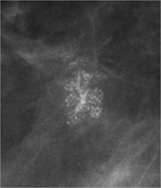
MG de kist bulgularına ek olarak sınırları belirsiz olabilir, eşlik eden kalsifikasyonlar bulunabilir.
Ultrasonografide kist, kist içinde izlenen kalın septa, kalın duvarlar veya solid komponent ayrıntılı olarak değerlendirilir.
Kompleks kist tip lezyonlar BI-RADS kategori 4 lezyonlar olup biyopsi ile histopatolojik tanı almak gerekir. Bu durumda mutlaka parça alınarak kanser yönünden araştırılması gerekir.
US de bir araya toplanmış 0,5mm den küçük birçok kistten oluşurlar. 5-30 mm çapında olabilirler. Kistler basit ve komplike kistler şeklinde izlenebilir. US de içlerinde debriye ait hareketli internal ekolar seçilebilir.
Mikrokist kümesine Yaklaşım: BI-RADS kategori 2- benign bulgular olarak rapor edilir.
Çoğu zaman tek başına US incelemesi tanı için yeterlidir. Ek inceleme gerektirmez.